現在、入院期間の短縮が全国的にすすめられ、痛みや不安をかかえたまま退院を余儀なくされるケースも増えつつあります。当院では、術後、状態に合わせリハビリを実施していき、安心して自信を持ってから退院ができるようにに心がけています。

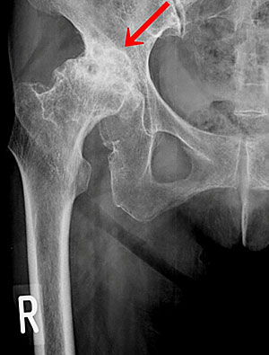
全人工股関節置換術
手術後、約2、3日後より、立位訓練等のリハビリを実施していき、深部静脈血栓症予防や股関節周囲筋群の強化、脱臼防止を指導していきます。

手術前
手術後
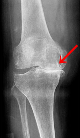
全人工膝関節置換術
深部静脈血栓予防、感染予防に充分注意を払いながら、手術直後より、関節可動域訓練、日常生活動作訓練といったリハビリを実施していきます。

手術前
手術後
骨折後の手術例

股関節頚部外側骨折(γ-ネイル)
股関節頚部内側骨折(人工骨頭)

上腕骨頚部骨折
コーレス骨折

脛骨螺旋骨折
足関節外果・内果・後果骨折





